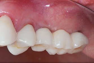
The ceramic crowns (or all-ceramic)

Advanced Process design, all-ceramic crown has the mechanical, functional, biological or aesthetic very close to the natural tooth .
This is the reconstruction of choice since it offers the best aesthetic and mechanical properties , but also a comfort .
This is the one we use in the dental office.
The cons, 4 crowns placed on the front teeth of our patients.
